Request an Appointment Online
We are always happy to hear from you. Please contact us with any questions you may have.
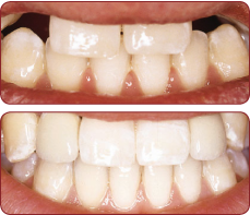
Same Day Implants
Same day implants are not just used during an emergency, but it is intended to save patients time and unnecessary visits. Dr. Vessali's patients may request same day implants should they choose to go this route. We understand professionals are too busy to make unnecessary visits and having patients that work in Reston and McLean Virginia, we have started providing same day implant service to the local communities.
DIEM- Immediate Teeth Replacement
Replacing teeth with dental implants the same day as the teeth are removed.
Teeth in a day are performed using local anesthetic, sedation and general anesthesia at the oral surgeon’s state of the art surgery center. With the surgeon, myself and the lab technician all there working together to provide the patient a complete treatment plan customized for them. The oral surgeon will strategically place a series of implants throughout the patient’s mouth in order to support the new prosthetic teeth. The new teeth will then be attached to the implants. In just one visit a patient can have a permanent set of new replacement teeth which will function just like their natural teeth. When properly cared for they can last a life time. If you have concerns when you come to our office, please speak with Dr. Vessali.
